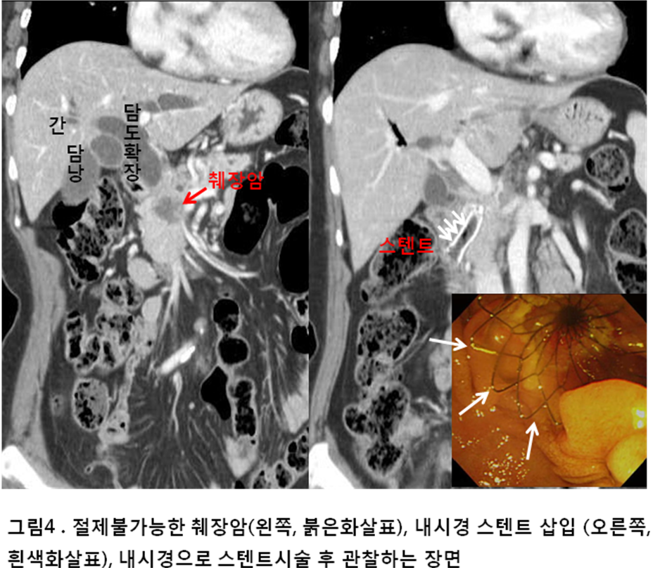
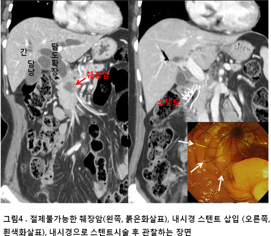
티스토리 뷰
췌장암은 초기 증상이 미미해 발견이 어려운 암 중 하나입니다. 조기 발견이 중요한 만큼, 환자 본인은 물론 가족과 지인들도 주의 깊게 살펴보아야 합니다.



이번 포스트에서는 췌장암의 초기 증상 5가지에 대해 구체적으로 소개해드리겠습니다. 이 정보를 통해 췌장암에 대한 이해를 높이고, 혹시 모를 상황에 대비할 수 있기를 바랍니다.
췌장암의 최대 위험성
췌장암은 면역 체계가 약해질 수 있는 요인들과 여러 가지 환경적 요인으로 인해 발생할 수 있습니다. 특히, 가족의 병력이 있는 경우나 흡연, 비만, 당뇨병과 같은 건강 문제가 있는 분들은 더욱 조심해야 합니다. 이러한 위험 요소들 외에도 췌장암은 진단이 어려워 상당수의 환자들이 진단 시점에서 이미 3기 또는 4기에 이르기 때문에 예방 차원에서의 인식이 절실합니다.
췌장암의 초기 증상은 매우 일반적이고 흔한 증상들이기 때문에, 많은 분들이 이를 가볍게 넘길 수 있습니다. 이와 같은 이유로 조기 발견이 힘든 암으로 여겨지며, 환자의 생존율이 낮아질 수 있는 원인 중 하나입니다. 이제부터 구체적인 초기 증상들을 하나씩 살펴보도록 하겠습니다.
체중 감소
첫 번째 증상으로는 갑작스러운 체중 감소가 있습니다. 정상적인 식사를 유지하고 있음에도 불구하고 체중이 감소하는 경우, 이는 췌장 기능에 문제가 생겼을 가능성을 시사합니다. 체중 감소는 췌장이 소화 효소를 충분히 생성하지 못하기 때문에 발생하는 경우가 많습니다.
보통 지병이 없거나 특별한 이유 없이 체중이 줄어든다면, 이를 무관심하게 넘기지 마시고 전문의와 상담하는 것이 좋습니다. 체중 감소는 다른 질병의 초기 증상일 수 있으므로, 조기 진단의 중요성을 잘 이해하고 계시길 바랍니다.
황달
두 번째로 주목해야 할 증상은 황달입니다. 황달은 피부나 눈의 흰자위가 노랗게 변하는 증상으로, 간이나 췌장에 문제가 있을 때 나타날 수 있습니다. 췌장암이 발생하게 되면, 종양이 담관을 압박하여 담즙이 제대로 배출되지 않으면 황달이 생길 수 있습니다.
황달이 생기면 피부가 가렵거나 소변 색깔이 어두워지는 증상이 동반될 수 있습니다. 만약 이러한 증상이 나타난다면, 즉시 병원을 방문하여 검사를 받는 것이 필수입니다. 그동안의 생활 습관이나 건강 상태를 점검할 기회가 될 수 있습니다.
소화 불량과 복통
세 번째 증상으로는 소화 불량과 복통이 있습니다. 췌장암 환자들은 소화가 잘 안 되고 복부 불쾌감이 지속됩니다. 이는 췌장이 소화 효소를 제대로 만들어내지 못하기 때문에 나타날 수 있습니다. 점차적으로 음식에 대한 기호도 변화할 가능성이 많습니다.
복통은 췌장 자체의 의료 상황뿐만 아니라 주변 장기의 문제를 수반하는 원인이 될 수 있습니다. 그러므로 이러한 증상을 종합적으로 가지고 계시다면 의료 전문가의 조언을 충분히 듣는 것이 좋습니다. 남기고 싶은 증세나 문제를 솔직하게 털어놓는 것도 큰 도움이 될 것입니다.
피로나 우울증
네 번째로 살펴봐야 할 증상은 피로감과 우울증입니다. 췌장암의 진행은 신체에 여러 가지 변화를 가져오며, 동반되는 피로감은 의욕 상실로 이어질 수 있습니다. 이는 몸이 감당할 수 있는 에너지를 초과하는 상태로, 소화 불량이나 영양실조와 같은 문제와도 연결됩니다.
우울증은 췌장암 환자에게 특히 나타나는 감정적 증상 중 하나로, 신체 건강과 직결된 문제로 인식되어야 합니다. 영양 부족, 체중 감소, 만성 통증 등이 우울증을 유발할 수 있으므로, 정신적인 부분에서도 도움을 주고받는 것이 필요합니다.
변화된 배변 습관
마지막으로 주목할 초기 증상은 변화된 배변 습관입니다. 변비나 설사의 잦은 반복은 췌장암과 같은 질환으로 인한 변화일 수 있습니다. 식단이 변화하거나 소화불량이 지속된다면 이러한 변화가 나타날 수 있습니다.
특히, 배변의 색깔이나 양의 변화는 문제가 있는 신체의 신호일 수 있으니 더욱 신경 써주셔야 합니다. 평소와 다른 변화를 감지하셨다면 망설이지 말고 진료를 받는 것이 좋습니다. 배변 습관을 기록하여 변화를 비교해보는 것도 한 방법입니다.
조기 검진의 중요성
췌장암은 초기 증상이 미비하여 진단이 어려운 만큼, 건강검진을 주기적으로 받는 것이 특히 중요합니다. 가족력이 있는 경우 조기 검진은 더욱 필요하며, 이를 통해 조기에 발견할 수 있는 확률이 높아집니다. 정기 검진은 단순히 췌장암을 예방할 뿐 아니라 신체 전반의 건강 상태를 점검하는 좋은 기회입니다.
종합적으로 봤을 때, 췌장암의 초기 증상은 비밀리에 다가오는 경우가 많고 다양한 증상들이 서로 얽혀 있을 수 있습니다. 체중 감소, 황달, 소화 불량, 피로감, 변화된 배변 습관 등 다양한 신호를 보시는 경우, 무시하지 말고 반드시 상담을 받으시는 것, 이로 인해 조기에 발견할 수 있는 가능성이 높아집니다.






가족 및 주위 사람들에게의 알림
췌장암의 조기 발견을 위해서는 무엇보다도 가족과 주변 사람들이 주의를 기울이는 것이 중요합니다. 간혹, 자신이 느끼지 못하는 변화를 주변 사람들이 쉽게 볼 수 있습니다. 그러므로 믿을 수 있는 가까운 사람에게 자신의 건강 상태를 공유하고, 그들의 의견을 듣는 것 또한 큰 도움이 될 것입니다.
특히 가족력이 있는 분들은 더욱 경각심을 유지해야 하며, 건강한 생활습관을 지속적으로 유지하는 것이 필요합니다. 담배를 피우지 않고 알코올 섭취를 줄이는 같은 생활 습관이 췌장암 예방에 큰 도움이 될 수 있습니다.



마무리하며
췌장암은 발견하기 어려운 질병인 만큼, 초기 증상을 염두에 두고 주의해야 합니다. 이 정보를 통해 궁금한 점이나 의문이 생긴 부분을 이해하는 데 도움이 되었길 바랍니다. 췌장암 예방은 본인 스스로의 노력과 주변 사람들의 관심이 함께할 때 그 효과가 극대화될 수 있습니다.
건강이 가장 중요하다는 것을 다시 한번 느끼게 되는 계기가 되었으면 합니다. 항상 스스로의 몸에 귀 기울여 주시고, 정기적인 건강 검사를 통해 더욱 건강한 삶을 영위하시길 바랍니다. 필요할 경우 주치의와 상담하여 더욱 간단하고 효율적인 방법으로 건강을 지켜가는 것이 중요하겠습니다.
