티스토리 뷰
폐암은 조기 발견이 매우 중요한 질병입니다. 초기 증상은 일반적인 호흡기 질환과 혼동되기 쉽지만, 이를 무시하면 결코 좋은 결과를 기대할 수 없습니다. 따라서 폐암 초기 증상 10가지를 이해하고 꾸준한 관리를 하는 이유에 대해 자세히 알아보겠습니다.



폐암의 초기에 나타나는 증상
폐암의 초기 증상으로는 기침, 호흡곤란, 흉통 등이 있습니다. 이러한 증상은 일반적인 감기나 알레르기 반응과 비슷할 수 있기 때문에, 많은 분들이 간과하는 경우가 많습니다.
첫 번째 증상은 기침입니다. 보통 기침은 감기나 감염으로 인해 나타나는 일반적인 증상으로 여겨져 무시하기 쉽습니다. 그러나 폐암 환자는 지속적이고 심한 기침을 경험할 수 있으며, 이 기침은 시간이 지나도 사라지지 않습니다.
두 번째 증상은 호흡 곤란입니다. 폐에 문제가 발생하면 산소를 충분히 공급받기 어려워지기 때문에 숨을 쉴 때 불편함을 느낄 수 있습니다. 초기에는 가벼운 운동을 할 때만 호흡이 곤란하지만, 점차 일상적인 활동에서도 어려움을 겪게 될 수 있습니다.
세 번째로 주목해야 할 증상은 혈액이 섞인 가래입니다. 건강한 경우에는 가래에서 피가 나오는 일이 드물지만, 폐암 환자의 경우 고형 종양으로 인해 혈액이 혼합되는 경우가 있습니다. 이 증상을 간과해서는 안 됩니다.
추가적인 초기 증상
네 번째 증상은 흉통입니다. 흉통은 가슴 부위에 통증을 느끼는 것을 의미하며, 이는 폐의 어느 부분에 문제가 생겼음을 나타낼 수 있습니다. 초기에는 가벼운 통증일 수 있으나, 시간이 지남에 따라 심해질 가능성이 높습니다.
다섯 번째 증상은 체중 감소입니다. 폐암이 진행되면 식욕이 감소하거나 소화 불량으로 인해 체중이 줄어들 수 있습니다. 이런 변화를 무시하는 것은 매우 위험합니다. 건강한 체중을 유지하는 것이 중요합니다.
여섯 번째 증상은 피로감입니다. 심한 피로감이나 기운이 없다고 느끼는 경우, 이는 폐암 및 다른 질환에서 흔히 나타나는 증상입니다. 하지만 지속적으로 피로를 느끼신다면 반드시 검사를 받아보시기 바랍니다.



초기 증상을 관리하는 이유
초기 증상을 이해하는 것만으로는 부족합니다. 이 증상들을 관리하고 정기적인 검사를 받는 것은 폐암의 조기 발견 및 치료에 있어 매우 중요합니다. 늦게 발견할수록 치료의 가능성이 줄어들기 때문입니다.
일곱 번째 증상은 기침 소리에 변화를 느끼는 것입니다. 건강할 때의 기침 소리와는 달리, 폐암 환자의 기침 소리는 날카롭고 변별력이 있을 수 있습니다. 이런 변화에 민감하게 반응해야 합니다.
여덟 번째 증상으로는 자가 면역 반응이 있습니다. 폐암이 진행되면 면역체계가 영향을 받을 수 있어 감염에 쉽게 노출될 수 있습니다. 이런 경우 백신 접종이나 주의가 필요합니다.
아홉 번째 증상은 수면의 질 저하입니다. 호흡이 곤란하거나 통증으로 인해 잠자는 것이 어려워질 수 있습니다. 수면의 질이 저하되면 생활의 질도 떨어지게 됩니다.






정기적인 검사의 중요성
열 번째 증상으로는 감정적인 변화가 있습니다. 폐암 진단 이후 많은 환자들이 우울증이나 불안감을 호소합니다. 자신의 건강 상태를 제대로 알고 관리하는 것이 이러한 증상을 완화하는데 중요합니다.
폐암 초기 증상이 나타날 경우, 가장 먼저 해야 할 일은 전문의의 상담을 받는 것입니다. 정기적인 검사를 통해 조기에 발견하고 대처할 수 있는 기회를 가지는 것이 중요합니다.
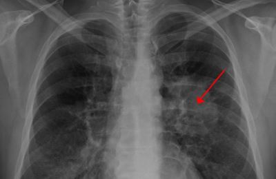
가장 일반적으로 시행되는 검사는 흉부 X선 촬영과 CT 스캔입니다. 이러한 검사를 통해 폐에 이상 징후가 있는지를 확인할 수 있습니다. 초기 증상이 나타나는 경우 때에 따라 추가 검사가 필요할 수도 있습니다.
폐암 검진을 통해 발견된 초기 증상에 대해서는 빨리 대처하는 것이 가장 좋습니다. 초기에 발견된다면 치료 방법도 다양하고, 효과적인 치료도 가능하기 때문입니다. 어떤 치료를 할지에 대한 결정은 환자에게 최선의 선택을 할 수 있도록 도와줄 전문가와 의논하는 것이 바람직합니다.
결론적으로 폐암 초기 증상 10가지는 결코 간과해서는 안 되는 신호입니다. 이러한 증상들을 잘 이해하고 관리하는 전반적인 접근이 필요합니다. 정기적인 검진과 건강한 생활 습관은 여러분의 소중한 생명을 지키는 데 필수적입니다. 조기 검진과 예방에 힘쓴다면 더 건강한 삶을 영위할 수 있습니다.
